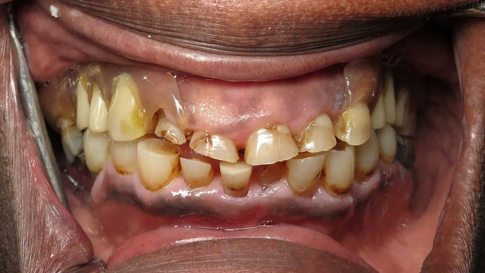
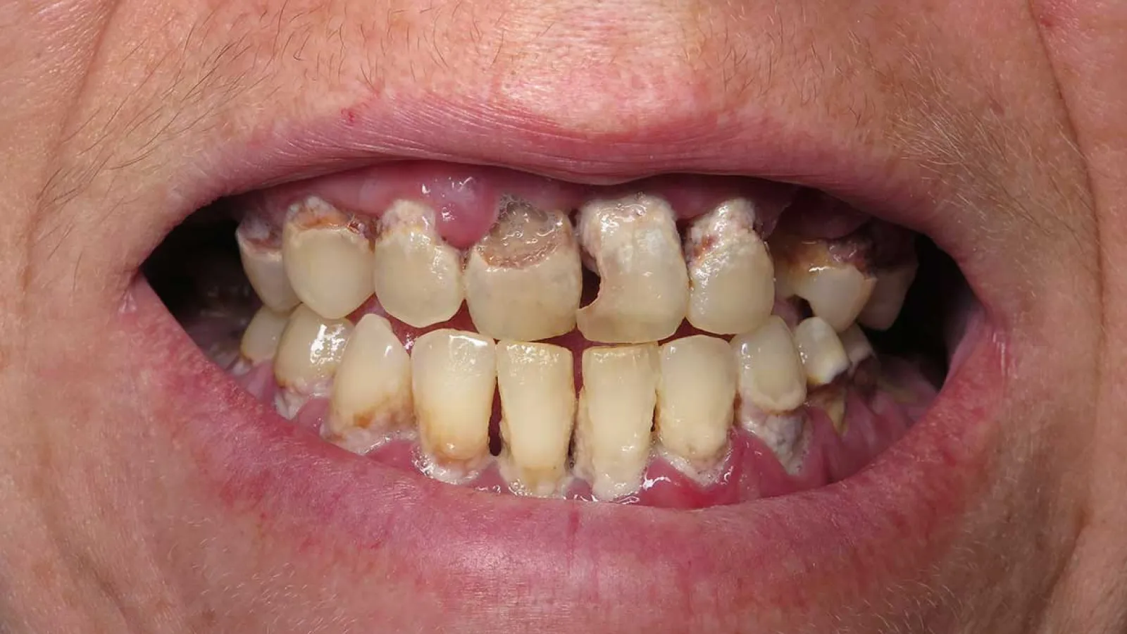
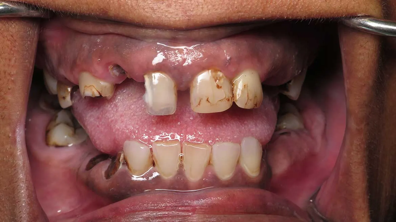
Smile Gallery

Visit Us For A Sparkling Smile

You Can Join Our Tigard Smile Gallery

As a patient of Premier Dental & Implants, you'll benefit from our years of experience transforming smiles and changing lives. Whether you need dental implants, dental crowns, or a complete makeover, we'll create a personalized treatment plan to give you a dream smile.

Take time to view our Tigard smile gallery, then check out our patient testimonials. We know how important it is to have a smile you love, and we've helped many patients fall in love with theirs again!

When you're ready, contact our team for an appointment.

4.9 out of 5 stars - 276 votes

4.9 Stars (276 Reviews)

Read 300 Reviews on Google

5

Wow, just wow! Dr. Williams and his entire team are amazing! From the moment I walked in for an evaluation to the time I left after my final visit EVERYONE was so nice, caring and helpful. I had terrible teeth - missing teeth and an ugly old bridge, baby teeth (at 57!) that hadn't fallen out -...
Wow, just wow! Dr. Williams and his entire team are amazing! From the moment I walked in for an evaluation to the time I left after my final visit EVERYONE was so nice, caring and helpful. I had terrible teeth - missing teeth and an ugly old bridge, baby teeth (at 57!) that hadn't fallen out - my mouth was a mess! The Dr. gave me a great plan to make all the top visible teeth look uniform and natural. I needed to whiten my bottom teeth. We went with several crowns, two implants and a bridge. They helped me whiten my bottom teeth and sent me to their lab where Mookie helped me custom match the top teeth to my bottom teeth. We had to go through a couple of trial runs before we got the PERFECT teeth. Everyone on their team was awesome about giving input on how everything looked. If “we” as a group didn’t think they were perfect they’d go back to the lab and explain the changes we needed. I felt bad not loving the first set, but they kept reassuring me that THEY wanted my teeth as perfect as much as I did. They weren’t going to be happy unless I was happy. After not smiling for more than a decade or more it feels incredible to smile and feel pretty and confident. I’m beyond thrilled that I chose Dr. Williams and his phenomenal team. I highly recommend them. They make you feel welcome and special. I loved everyone there and I know you will, too! THANK YOU DR. WILLIAMS & TEAM! I will be forever grateful to you all.

5

Dr. Williams and staff were very helpful in my concerns about dental implants. I appreciated their professional and knowledgeable manner. The office had a welcoming atmosphere. I was impressed throughout. Esther B.

5

Premier Dental and Implants in Tigard is a top notch business that knows their stuff and knows how to change your look with very simple procedures. You can feel comfortable with a non threatening consultation. Highly recommend contacting them. The only thing to not worry about is smiling too much.

5

Premier Dental is outstanding in every way. I’ve been a patient of Dr. Williams for almost a year now. With my oral health failing, I needed dental implants. After a year of researching several dental offices, I was most impressed with Premier Dental. This staff is professional, compassionate,...
Premier Dental is outstanding in every way. I’ve been a patient of Dr. Williams for almost a year now. With my oral health failing, I needed dental implants. After a year of researching several dental offices, I was most impressed with Premier Dental. This staff is professional, compassionate, knowledgeable and supportive throughout my journey.

5

Absolutely incredible experience! All staff were incredibly kind, efficient, and effective. I received a root canal and could not imagine a better and more thorough experience. I would definitely recommend Premier Dental to anybody in need of dental care. Thank you so much!

5

This was my first visit with Dr. Williams. I was very impressed with the level of technology in use at the office. Doctor was very helpful; he explained things well and answered questions. The staff were caring and kind. I look forward to continuing my dental care with Premier Dental and Implants.

5

⭐️⭐️⭐️⭐️⭐️ I cannot say enough about Dr. Gregory Williams and his entire team. Before choosing an office for my full top implants, I spent months researching and weighing my options, and I can honestly say I made the best possible decision. From the very first visit, the...
⭐️⭐️⭐️⭐️⭐️ I cannot say enough about Dr. Gregory Williams and his entire team. Before choosing an office for my full top implants, I spent months researching and weighing my options, and I can honestly say I made the best possible decision. From the very first visit, the level of professionalism, compassion, and kindness I experienced has been unmatched by any other office in Oregon. As someone who has owned my own business for over 20 years, I know what true five-star service looks like and this team exceeds it in every way. Every member of the staff goes above and beyond to make you feel comfortable and cared for. Dr. Gregory’s skill, knowledge, and calm confidence put me completely at ease through a process I had been nervous about for years. I went through my entire healing process without a single issue, which is a true testament to both the quality of the work and the level of care I received. I’m still in the process of finishing my final implants, and I will gladly write another review once everything is complete but even at this stage, I can say without hesitation that this office is worth every single penny. I feel truly blessed to have found Dr. Gregory and his team. If you are considering dental implants, don’t waste your time looking anywhere else you won’t find better. Have a blessed day! Christine Gale

5

I appreciate that Dr Williams provided me with a free consultation. He and his staff were very helpful and listened to my concerns. They offered an option that might be of help to me. I believe they will continue to work with me in any way that might be of benefit to my personal dental care issues.